About Brain Injury:

Objectives of Neurosurgery

By Attorney Gordon S. Johnson, Jr.

Call me at 800-992-9447

 

A neurosurgeon is a physician who specializes in treatment and surgery of the nervous system and its surrounding structures. Neurosurgeons operate on the brain, skull, scalp and spinal column.

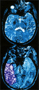
Because of advances in technology, (the MRI and CAT Scan, the ICP monitor and the shunt), brain injury, in general, is more likely to have a positive outcome than it did several years ago.

One of the most important roles the neurosurgeon performs in the treatment of brain injury is in the prevention of further damage to the brain. This is accomplished in several ways.

When the brain is injured, the brain will swell. Because it is encased within the skull, this swelling will cause parts of the brain to compress. This compression decreases the blood flow and oxygen to parts of the brain which, in turn, causes more swelling.

One of the goals of the neurosurgeon is to break or diminish this cycle. This can be accomplished by removing any hematomas (blood clots) which are pressing on the brain and surgically repairing damaged blood vessels to stop any further bleeding. This gives the brain more room, increased blood flow and helps stem the cycle of compression and swelling. In severe cases, portions of the brain that are damaged beyond recovery may be removed to increase chances of recovery for the healthy portions of the brain.

The neurosurgeon is also responsible for the insertion of Intracranial Pressure monitoring devices. These devices, which measure the pressure within the brain, alert the medical team to increases in pressure, allowing them to intervene when dangerous levels are reached. A shunt or ventricular drain may be used to drain off excess fluids or surgical intervention may be called for.

The overall goal of the neurosurgeon is to maintain blood flow and oxygen to all parts of the brain, thus minimizing the damage and increasing the prospect of survival and recovery.

Get Help with Medical Bills

Getting Care Outside the Medicaid Box

Intracranial Pressure

Understanding Coma

Rancho Los Amigos Scale/ The Levels of Coma

A Guide to Brain Anatomy

A Glossary of Terms  

Attorney Gordon S. Johnson, Jr.

Contact Us

E-mail to: waiting.com
For legal questions call toll free: 1-800-992-9447

We are not medical professionals, however we encourage your inquiries regarding both legal issues and information on futher resources. Phone and email inquiries will be received by the staff of the Brain Injury Law Office, including Attorney Gordon S. Johnson, Jr.

copyright ©2002 - 2013 Attorney Gordon S. Johnson, Jr., All rights reserved.

For more on Attorney Gordon Johnson
http://gordonjohnson.com